「なみだ目」は加齢のせい? 実は“鼻涙管の狭窄・閉塞”かもしれません
「最近、目から涙がこぼれることが多くなった」
「風が吹くとすぐに涙が出る」
「目ヤニが増えてきた気がする」
そんな症状、ただのドライアイや加齢のせいだと思っていませんか?
実は、鼻涙管(びるいかん)狭窄症や鼻涙管閉塞症といった病気が原因になっていることがあります。
鼻涙管狭窄・閉塞とは?
私たちの目には、涙を鼻へと排出する“排水口”のような役割を持つ涙道(るいどう)があります。その中でも、鼻の奥につながる「鼻涙管」は、年齢とともに細くなったり、詰まったりしやすい部位です。
この通り道が狭くなる状態を「鼻涙管狭窄症」、
完全に詰まってしまう状態を「鼻涙管閉塞症」と呼びます。
いずれの場合も、涙がうまく流れず、目にたまってしまうことで以下のような症状が起こります。
主な症状:
- 常に涙があふれてくる(なみだ目/流涙症)
- 目ヤニが多い
- 目がゴロゴロする、かゆい
- 視界がかすむ
特に高齢の方に多く見られる疾患で、片側だけに症状が出ることもあれば、両眼に及ぶ場合もあります。
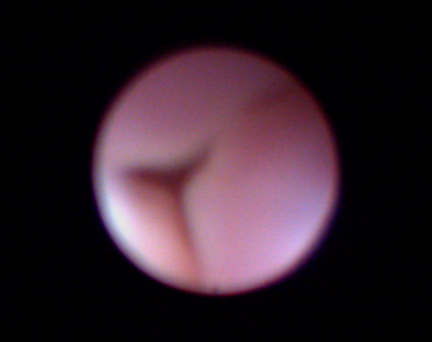
内視鏡で見える「涙の通り道」の変化
涙があふれる・流れにくいといった症状の原因を調べるために、涙道内視鏡による観察が行われることがあります。
これは、鼻涙管(涙の通り道)の内側を小さなカメラで直接確認できる検査で、狭窄(狭くなっている)か閉塞(完全に詰まっている)かといった状態を正確に判断するのに有用です。必要に応じて、内視鏡で得られた情報や画像をもとに、より詳細な診断や治療方針の決定が行われます。
📸【内視鏡画像】

- 正常な鼻涙管:涙がスムーズに流れる明るい管腔が観察されます。

- 閉塞した鼻涙管:開口部が確認できず、管腔は閉鎖しており、粘膜面には菲薄化および瘢痕性の変化が認められます。
放置するとどうなる?
鼻涙管の狭窄や閉塞を放置すると、慢性の結膜炎や涙嚢炎(るいのうえん)といった感染を起こすことがあります。
涙嚢炎になると、腫れや痛み、発熱などを伴い、抗菌薬や外科的処置が必要になる場合もあります。
「ただの涙目」と思わず、早めの診断・治療が大切です。
当院で行っている治療:涙道チューブ挿入術
当院では、鼻涙管の狭窄や閉塞に対して、「涙道チューブ挿入術(シリコンチューブ留置)」を行っております。
これは、細くなった涙道に柔らかいシリコンチューブを挿入し、通り道を確保・広げる治療法です。
- 局所麻酔で日帰り手術が可能
- 身体への負担が少ない
- 治療後も見た目にほとんど影響なし
完全閉塞でなくても、狭窄の段階から症状が出ることは少なくありません。
チューブ挿入により多くの患者さんが“なみだ目”の症状から解放されています。
大学病院との連携体制も整っています
涙道チューブの挿入だけでは改善が難しい重度の閉塞や、涙嚢鼻腔吻合術(DCR)などの外科的手術が必要な場合には、当院に勤務する大学病院の形成外科専門医が診断を行い、適切なタイミングで大学病院へご紹介いたします。
地域のクリニックとしての機動力と、大学病院との連携により、患者さま一人ひとりに合わせた治療の選択肢をご提案しています。
「なみだ目」は、治療できます
「年のせいだから仕方ない」とあきらめず、症状が気になる方はお気軽にご相談ください。
早めの診察と適切な処置によって、快適な視界と日常生活を取り戻すことが可能です。
涙の通り道の異常は、見た目ではわかりにくいことが多いため、症状が続く場合には早めの受診をおすすめします。
当院では、地域の皆さまの“目のかかりつけ医”として、信頼される医療を提供するよう努めております。
